For everyone who has ever loved and lost, an instant classic from an instant star:
Month: May 2011
Obama On The ’67 Lines
He repeats the bleeding obvious to AIPAC:
If there’s a controversy, then, it’s not based in substance. What I did on Thursday was to say publicly what has long been acknowledged privately. I have done so because we cannot afford to wait another decade, or another two decades, or another three decades, to achieve peace. The world is moving too fast. The extraordinary challenges facing Israel would only grow. Delay will undermine Israel’s security and the peace that the Israeli people deserve.
Treating Grief
Virginia Hughes parses two proposed additions to the Diagnostic and Statistical Manual of Mental Disorders (DSM):
In the less controversial change, the manual would add a new category: Complicated Grief Disorder, also known as traumatic or prolonged grief. … The controversial change focuses on the other end of the time spectrum: it allows medical treatment for depression in the first few weeks after a death. Currently the DSM specifically bars a bereaved person from being diagnosed with full-blown depression until at least two months have elapsed from the start of mourning.
Vaughan Bell scoffs:
This brings to mind psychologist Richard Bentall’s tongue-in-cheek proposal to classify happiness as a mental disorder due to the fact that it is “statistically abnormal, consists of a discrete cluster of symptoms, is associated with a range of cognitive abnormalities, and probably reflects the abnormal functioning of the central nervous system”. Perhaps we can also look forward to simmering anger, dashed hopes and unrequited love disorders for the DSM-6?
Is The Age Of Travel Over?

Paul Theroux argues it isn't:
People say that because of Google Earth and the Net, travel is less of a priority. I would say the opposite is the case. The very fact of easy interconnection, and the illusion such contact creates of understanding, makes travel ever more necessary. The world is not what it seems. The peevish person in his T shirt and blue jeans and sneakers is not necessarily a UCLA student. He might be a separatist in Zamboanga or a Libyan rebel or an Ivorian in a mob in Abidjan or the hot-headed son of an African dictator. Or indeed he might be a man or woman heading to a Bruins game in L.A.
(Image: The Butterfly Man, Los Angeles, 2010, by Peter Blake, from the Mary Ryan Gallery, New York)
Under The Sea
Dave Gilson delves into what happens to a body buried at sea:
Results may vary depending on a burial spot's depth, temperature, and its abundance (or lack) of sea life. Generally, the deeper and colder the water, the slower bodies decompose. A 2008 paper in Forensic Sciences described the differing conditions of remains retrieved from two airplane crashes in more than 1,500 feet of water. A victim discovered off of Sicily 34 days after death was still fully dressed; a three-month-old body found off the southern coast of Africa had been "fully skeletonized" by "highly efficient necrophageous lyssianassids" (i.e., flesh-eating shrimp-like creatures).
Pain: A Disease
The caption to Elliot Krane's TED talk:
We think of pain as a symptom, but there are cases where the nervous system develops feedback loops and pain becomes a terrifying disease in itself. … Elliot Krane talks about the complex mystery of chronic pain, and reviews the facts we're just learning about how it works and how to treat it.
(Hat tip: Ezra)
Updating The Judeo-Christian Model
America's Judeo-Christian roots include the work of the National Conference of Christians and Jews, a lobbying group founded in 1927. Adam Kirsch reviews a new history, Tri-Faith America: How Catholics and Jews Held Postwar America to Its Protestant Promise:
From Ground Zero to Orange County, the last year witnessed a series of revolting demonstrations of anti-Muslim prejudice in the United States, reminiscent of the kind of bigotry that Jews and Catholics once faced. Tri-Faith America shows that our religious diversity has been a process of mutual accommodation: As “foreign” religions become less dogmatic and distinctive, Americans stop seeing them as alien or threatening. With luck, the same benevolent process will allow us, a few generations from now, to talk blithely of America’s Judeo-Christian-Islamic heritage.
The View From Your Window

Westmont, Illinois, 7.28 pm
The Dull Blade Of Occam’s Razor
Massimo Pigliucci questions deference to the simplest answer:
The obvious question to ask about Ockham’s razor is: why? On what basis are we justified to think that, as a matter of general practice, the simplest hypothesis is the most likely one to be true? Setting aside the surprisingly difficult task of operationally defining “simpler” in the context of scientific hypotheses (it can be done, but only in certain domains, and it ain’t straightforward), there doesn’t seem to be any particular logical or metaphysical reason to believe that the universe is a simple as it could be. Indeed, we know it’s not.
The history of science is replete with examples of simpler (“more elegant,” if you are aesthetically inclined) hypotheses that had to yield to more clumsy and complicated ones. The Keplerian idea of elliptical planetary orbits is demonstrably more complicated than the Copernican one of circular orbits (because it takes more parameters to define an ellipse than a circle), and yet, planets do in fact run around the gravitational center of the solar system in ellipses, not circles.
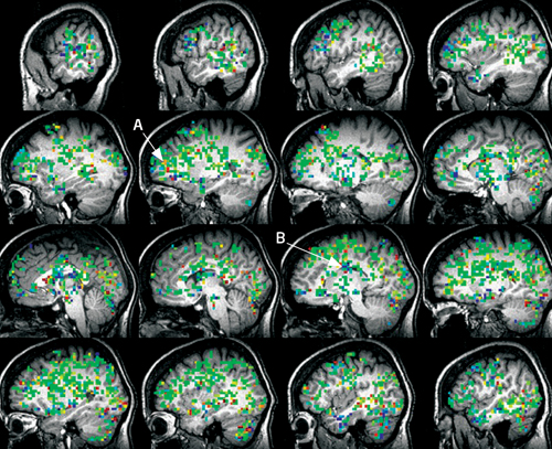
This Is Your Brain On Orgasm

Kayt Sukel masturbated for a fMRI:
Over 30 areas of my brain are activated as I move from start to finish, including those involved in touch, memory, reward and even pain. As [researcher Barry] Komisaruk expected, the imagined clitoral touches and Kegel exercises activated the same brain areas as real ones, albeit with somewhat less blood flow. The [prefrontal cortex], however, showed more activation when touches and pelvic squeezes were imagined compared with those that were real. He suggests this heightened activation may reflect imagination or fantasy, or perhaps some cognitive process that helps manage so called "top-down" control – the direct regulation by the brain of physiological functions – of our own pleasure.
(Image: Kayt Sukel's brain at the moment of orgasm. "You can see from the extent of activity that an orgasm is a whole-brain experience. Activation in the prefrontal cortex (A) is clearly visible, as well as activity in the anterior cingulate cortex (B), thought to be involved in the experience of pain.")