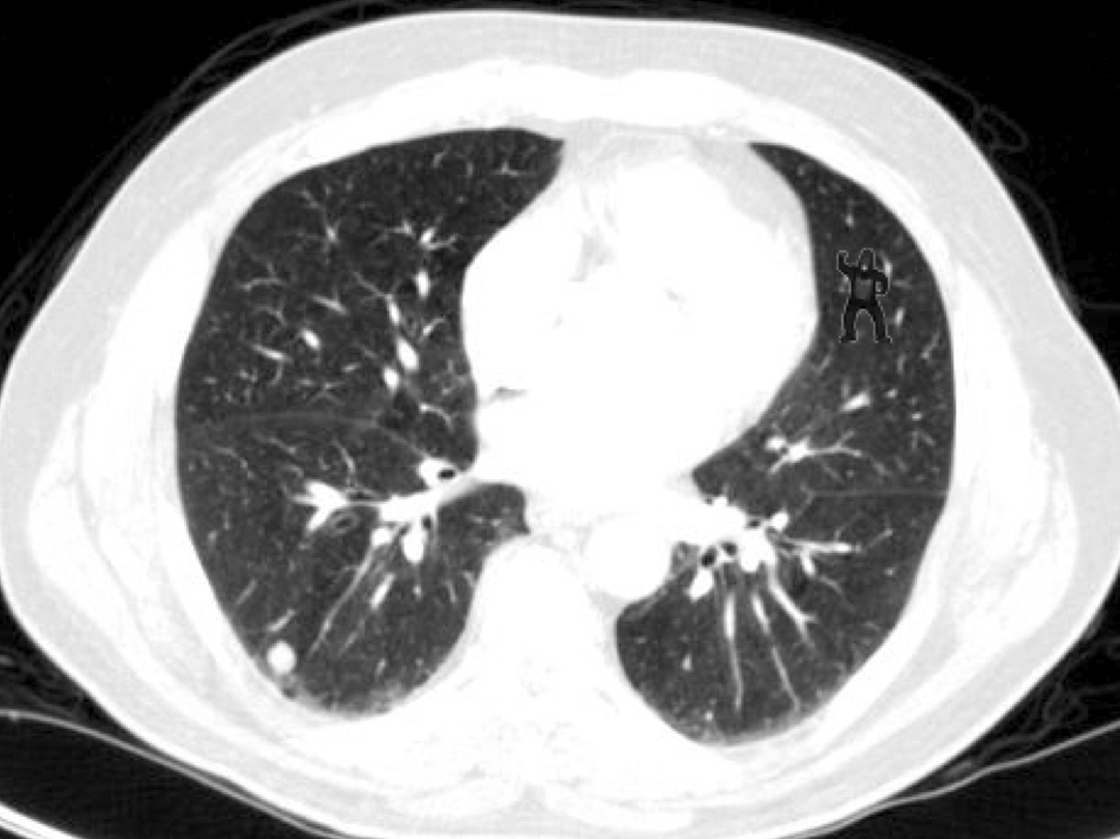
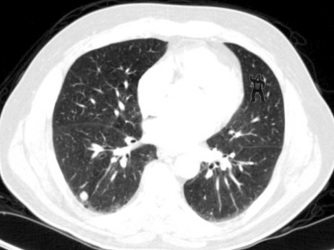
In an attempt to explain why radiologists sometimes miss important aspects of the images they review, Trafton Drew and Jeremy Wolfe recreated a famous attention study using the above image. Alix Spiegel summarizes:
Drew wondered if somehow being so well-trained in searching would make [the radiologists] immune to missing large, hairy gorillas. “You might expect that because they’re experts, they would notice if something unusual was there,” he says.
He took a picture of a man in a gorilla suit shaking his fist, and he superimposed that image on a series of slides that radiologists typically look at when they’re searching for cancer. He then asked a bunch of radiologists to review the slides of lungs for cancerous nodules. He wanted to see if they would notice a gorilla the size of a matchbook glaring angrily at them from inside the slide. But they didn’t: 83 percent of the radiologists missed it, Drew says.
This is explained by a phenomenon called “inattentional blindness” in which “you ask someone to perform a challenging task, [and] without realizing it, their attention narrows and blocks out other things.”
(Image from Trafton Drew and Jeremy Wolfe)
